・JR東海道新幹線 名古屋駅太閤通口より徒歩3分
・JR東海道本線 名古屋駅太閤通口より徒歩3分
・名古屋市営地下鉄桜通線 名古屋駅太閤通口より徒歩3分
・名古屋市営地下鉄東山線 名古屋駅太閤通口より徒歩3分
・名古屋臨海高速鉄道 名古屋駅太閤通口より徒歩3分
・名鉄名古屋線 名鉄名古屋駅より徒歩3分
・近鉄名古屋線 近鉄名古屋駅より徒歩3分
インプラント治療は
天然歯のような噛み心地を、
自然な見た目で再現できる
治療法です
インプラントとは、チタン製の人工歯根です。インプラント治療では、このインプラントを顎の骨に埋め込み、それを土台に人工歯を固定することで、『天然歯に近い歯』へと作り直す治療法です。
クリア歯科では年間2,000本、グループ累計36,597本※のインプラント治療に携わってきた経験を活かし、患者様に合わせた治療法のご提案が可能です。
まずはご相談だけでも構いません。ぜひ一度、無料カウンセリングにお越しください。
※2009年1月~2026年1月
クリア歯科では年間2,000本、グループ累計36,597本※のインプラント治療に携わってきた経験を活かし、患者様に合わせた治療法のご提案が可能です。
まずはご相談だけでも構いません。ぜひ一度、無料カウンセリングにお越しください。
※2009年1月~2026年1月
インプラント治療が
はじめての方へ
インプラントは人工歯根で、天然歯に近い噛み心地と見た目を回復する治療です。
当院は総額提示と丁寧なカウンセリングで、あなたの「噛める喜び」をサポートします。
当院は総額提示と丁寧なカウンセリングで、あなたの「噛める喜び」をサポートします。
インプラント治療なら
クリア歯科名古屋院へ
こんなお悩み
ありませんか?
-
歯がグラグラして噛みにくい -
入れ歯を使いたくない -
歯が抜けたまま放置している -
歯が痛い -
健康な歯を削りたくない -
ブリッジ治療に抵抗がある
当院のインプラント治療が
選ばれる理由
コスパに優れた、
明瞭な総額プラン
明瞭な総額プラン
当院では、CT診断、プロビジョナルレストレーション、術後の保証費用を含む総額220,000円(税込)からの明瞭な料金プランをご用意しており、月々2,800円(税込)からのお支払いも可能です。
豊富な実績
当院では、インプラント治療を受けられたすべての患者様に、治療プランに応じた保証を申し込み不要でご提供しております。定期検診の受診などの条件はございますが、万が一不具合が発生した場合には無償で対応させていただきます。保証期間は最長で一生涯となっており、詳細につきましては担当医師にお尋ねください。
治療後も安心のアフターケア
クリア歯科では、東京・名古屋・大阪・神戸・京都で直営する全7医院を合わせると、年間約2,000本、通算36,597本(※)のインプラント埋入実績があります。
※2009年1月~2026年1月
※2009年1月~2026年1月
通いやすい好立地
名古屋駅から徒歩3分の抜群のアクセス。忙しい方でも無理なく通院できる便利な立地。
クリア歯科は2ピースタイプの
インプラントを使用
インプラントを使用
クリア歯科では、アバットメントが別パーツとなっている2ピースタイプのインプラントを採用しています。2回の手術で埋入する1ピースタイプと異なり、土台部分を埋入後に1回縫合するため、術後感染のリスクを抑えることができます。
また、骨の薄い部分にも比較的使用しやすく、審美性に優れている点も2ピースタイプのメリットです。
また、骨の薄い部分にも比較的使用しやすく、審美性に優れている点も2ピースタイプのメリットです。
他院に断られた方・
やり替え(再治療)にも対応いたします。
やり替え(再治療)にも対応いたします。
クリア歯科には、他院での治療後に傷口からの出血や痛み、違和感などでお困りの方から、多くのご相談が寄せられます。
また、「歯茎の安定を図る必要がある」「増骨処理が必要」などの理由から他院に断られた難症例の方のご相談も増えてまいりました。
当院では、こうした患者様のお困り事に対して、やり替え(再治療)を行っております。
前身の木村歯科クリニックから数えると30年以上にわたって蓄積してきた豊富な治療経験から、一般的には難易度が高いと言われるやり替え(再治療)も、迅速・丁寧に対応いたします。安心してご相談ください。
また、「歯茎の安定を図る必要がある」「増骨処理が必要」などの理由から他院に断られた難症例の方のご相談も増えてまいりました。
当院では、こうした患者様のお困り事に対して、やり替え(再治療)を行っております。
前身の木村歯科クリニックから数えると30年以上にわたって蓄積してきた豊富な治療経験から、一般的には難易度が高いと言われるやり替え(再治療)も、迅速・丁寧に対応いたします。安心してご相談ください。
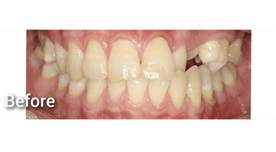
治療症例
インプラント治療の料金
当院では月々の調整料や保定装置の費用もすべて含んだ治療費の「総額」を、契約前に明確にご提示します。治療途中での追加費用は一切ありません。デンタルローンによる分割払いも可能ですので、安心してご相談ください。
インプラントのプロに
ご相談ください。
インプラントのプロにご相談ください。
クリア歯科では、理事長・木村正信が30年以上の経験を持ち、増骨処置や歯周外科など難症例の治療を手がけてきました。
過去に他院で埋入されたインプラントのトラブルにも対応し、多くの患者様から喜びの声をいただいています。どなたでもお気軽にご相談ください。
クリア歯科では、理事長・木村正信が30年以上の経験を持ち、増骨処置や歯周外科など難症例の治療を手がけてきました。
過去に他院で埋入されたインプラントのトラブルにも対応し、多くの患者様から喜びの声をいただいています。どなたでもお気軽にご相談ください。
クリア歯科では患者様に当日契約をお求めしません。 一度ご帰宅いただき、
ご家族にご相談の上、
納得した上でご契約ください。
ご家族にご相談の上、
納得した上でご契約ください。
セカンドオピニオンとして、
当院までお気軽にご相談ください。
当院までお気軽にご相談ください。
セカンドオピニオンとは、かかりつけ医とは別の医師に「第2の意見」を求めることです。当院では、インプラント相談の約8割がセカンドオピニオン目的です。特に初めての治療では、不安や疑問を解消する機会が重要です。治療を断られた方や不安を感じている方も、ぜひ当院をご活用ください。初回カウンセリング後は、ご家族と相談してから検討いただくようおすすめしています。カウンセリングは無料ですので、お気軽にご相談ください。
グループ累計3万本超の実績
インプラントの埋入実績
インプラントの埋入実績
マイティス・アロー公認
インストラクター認定書
インストラクター認定書
ノーベルバイオケア
認定証明書
認定証明書
クリア歯科では、東京・名古屋・大阪・神戸・京都で直営する全7医院を合わせると、年間約2,000本、通算36,597本(※)のインプラント埋入実績があります。 ※2009年1月~2026年1月
理事長の木村正信はトータル35年以上のインプラントキャリアの中で、通算埋入実績16,300本以上を誇るなど、数多くの難症例を治療してきました。当院には理事長の木村以外にも経験豊富な歯科医師が多く在籍しておりますので、安心してインプラント治療を受けていただけます。
理事長の木村正信はトータル35年以上のインプラントキャリアの中で、通算埋入実績16,300本以上を誇るなど、数多くの難症例を治療してきました。当院には理事長の木村以外にも経験豊富な歯科医師が多く在籍しておりますので、安心してインプラント治療を受けていただけます。


